病気(感染症)の原因となる病原微生物を見つけ出し、その病原微生物はどんな抗菌薬を使用すれば治療効果が得られるのか調べるのが主な業務です。

患者さんから提出された検体(喀痰、尿、便)などを、微生物が成長するために必要な栄養素を含む寒天培地に塗り、体温とほぼ同じ35℃~37℃で培養し、肉眼で確認できるように発育増殖させます。
その後、発育してきた微生物がなんなのか様々な確認検査を行い、菌名を調べます。(同定検査)
並行して、検出された病原微生物はどの薬(抗菌薬)を使用すれば治療効果が得られるのか調べます。(薬剤感受性検査)
ここまでの過程で約3日間を要します。非常に時間のかかる検査です。

実際に抗菌薬投与を開始するときには、まだ原因菌の同定や薬剤感受性が得られていないことがあります。これらを少しでも確実に判断するため、グラム染色による原因菌の推定、および、当院で検出された細菌別抗菌薬感受性率表(アンチバイオグラム)を定期的に改訂し活用しています。
私たちは日々患者さんの微生物を原因とした病気の治療に少しでも役立てるよう業務に取り組んでいます。
【抗酸菌検査】
結核菌を含む抗酸菌の培養検査を院内で実施しています。
抗酸菌は、一般的な細菌(大腸菌)などと比べ発育が遅く、培養(図1,図2)結果報告には多くの時間(陰性確認まで週間)を要します。
抗酸菌は、チール・ネルゼン染色(図3,図4)または蛍光染色を実施して顕微鏡で観察が可能です。
また、結核菌などの病原体を検査材料から直接検出する遺伝子検査(図5)も活用しています。
-
図1 抗酸菌培養検査
-
図2 小川培地発育菌確認中
-


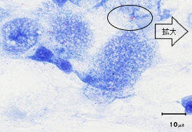
図3(左) チール・ネルゼン染色像
図4(右) 結核菌拡大像 -
図5 遺伝子検査装置
フォトギャラリー
微生物は汚い!と殆どの方が印象をお持ちでしょうが、写真で見ると意外と色鮮やかな気がしませんか?
![]() |
![]() |
![]() |
| 黄色ブドウ球菌 | A群溶血連鎖球菌 | サルモネラ |
![]() |
![]() |
![]() |
![]() |
| カタル球 | 肺炎球菌 | 結核菌 | アスペルギルス |
文責:臨床検査室








